Muitos atletas de alta performance passam a impressão de serem quase invencíveis. Com músculos bem definidos, resistência física admirável e treinos intensos, o corpo parece estar sempre preparado para qualquer desafio...
Dormir bem muitas vezes é tratado como um luxo, e não como uma necessidade básica. No entanto, o sono profundo tem papel fundamental no equilíbrio do organismo, especialmente no que diz respeito ao funcionamento...
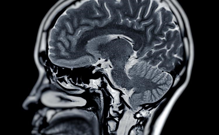
O aneurisma cerebral é uma alteração que ocorre nos vasos sanguíneos do cérebro. Ele se forma quando a parede de uma artéria enfraquece em um ponto específico e cria uma espécie de “bolha” ou dilatação...
O cérebro é um dos órgãos mais complexos do corpo humano. Sua estrutura é formada por bilhões de células nervosas interligadas, responsáveis por pensamentos, movimentos, emoções e memórias. Qualquer intervenção...
O cérebro humano é alimentado por uma rede complexa de vasos sanguíneos que levam oxigênio e nutrientes essenciais para seu funcionamento. Embora essa rede seja incrivelmente bem projetada, eventualmente...





